Bleaching | Zahnarzt
Dieses Ergebnis erreichen Sie mit Bleaching - fragen Sie Ihren Zahnarzt.
Dieses Ergebnis erreichen Sie mit Bleaching - fragen Sie Ihren Zahnarzt.
Der Zahnarzt führt in der Regel zuerst eine professionelle Zahnreinigung bei Ihnen durch. Danach sind schon kleine Flecken und Verfärbungen nicht mehr sichtbar. Jetzt kann die eigentliche Zahnweissung beginnen.
Sie suchen sich zusammen mit Ihrem Zahnarzt die Zahnfarbe aus.
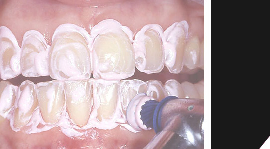
Zum Schutz des Zahnfleischsaums wird eine weiche Masse aufgetragen. Schließlich sollen nur die Zähne weiß werden.
Jetzt folgt das eigentliche Bleichmittel, viel höher dosiert als bei der Heimanwendung. Deswegen dauert es auch nur ca. 10 Minuten, bis die Behandlung abgeschlossen ist. Die Bleichpaste wird erst abgesaugt, dann mit Wasserspray abgespült. Sollten Sie noch nicht zufrieden sein, kann der Vorgang einfach noch mal wiederholt werden, ohne dass Ihre Zähne dabei Schaden nehmen würden.