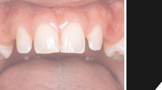
Beide Eckzähne im Oberkiefer müssen ersetzt werden.
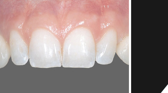
Nach der Implantatprothetischen Versorgung eine perfekte Zahnreihe.