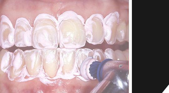
Professionelle Zahnreinigung
Auch bei guter Mundhygiene können sich mit der Zeit hässliche Ablagerungen und Verfärbungen auf den Zähnen und in den Zahnzwischenräumen bilden. Mit einfachem Zähneputzen können Sie hier keine sichtbare Verbesserung erziehlen. Jetzt kann Ihnen Ihr Zahnarzt helfen mit einer professionellen Zahnreinigung. Harte und weiche Ablagerungen werden gründlich entfernt, Ihre Zähne poliert und versiegelt.





