Kieferorthopädie | Geräte
Oberkieferplatte mit einer Perle im hinteren Gaumenbereich als Spielzeug für die Zunge.
Oberkieferplatte mit einer Perle im hinteren Gaumenbereich als Spielzeug für die Zunge.
Unterkieferplatte zur Erweiterung des Seitenzahnbereichs.
Oberkieferspange zur Erweiterung des Kiefers und Ausformung des Zahnbogens.
Für die Kids gibt es auch lustige Motive.
Vorschubdoppelplatte: der Unterkiefer wird durch die Bügel im Oberkiefer nach vorn verlagert.
Unterkieferdehnplatte zur Erweiterung des Zahnbogens und Ausformung der Front.
Diese Spange zeigt neun verschiedene Schrauben und die Möglichkeit Zähne im Kiefer zu bewegen.
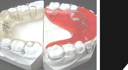
Oberkieferdehnplatte zur Ausformung des Zahnbogens.
Aktivator, ein Gerät, das den Unterkiefer nach vorne holt, um das natürliche Kauverhalten zu normalisieren.