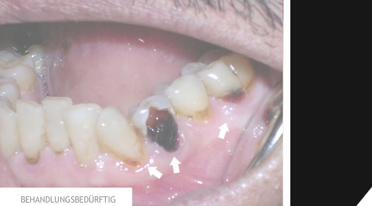
Karies
Wenn Ihre Zähne auf süße, heiße oder kalte Speisen empfindlich reagieren, kann das ein Anzeichen dafür sein, dass ein oder mehrere Zähne von Karies befallen sind. Das ist nicht weiter ungewöhnlich, ca 95% der gesamten Bevölkerung hat das gleiche Problem wie Sie, sollte aber sofort behandelt werden, da die kranke Zahnsubstanz entfernt werden muss, um sich nicht immer weiter auszubreiten. Neben einer sehr guten Mundhygiene haben zuckerfreie Zahnpflegekaugummis übrigens den Effekt den Speichelfluss zu erhöhen und sorgen so für die Verdünnung und Neutralisation der Säuren, die sich im Mund bilden und den Zahnschmelz angreifen.







