Damit auch Sie wieder zu Ihrem Lächeln finden.

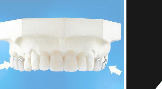
Zahnersatz herausnehmbar | Modellguss

+ Kostengünstig - Kassenleistung
+ Gute Reinigungsmöglichkeit
- Keine ästhetische Lösung, Klammern sichtbar
- Teilweise unangenehme Hebelkräfte am Restzahnbestand
- Zahnschmelz der Restzähne wird durch die Klammer angegriffen

Dieser herausnehmbare Zahnersatz ist, wie vom Gesetzgeber gefordert, ausreichend, zweckmäßig und wirtschaftlich, aber er entspricht in keinster Weise dem heutigen Stand der Wissenschaft und Technik. Hier werden künstliche Zähne an einer Metallbasis befestigt und über Klammern mit den Restzähnen verbunden, die auch noch stark beschliffen werden müssen, um der Prothese Halt zu geben. Auflagen und Klammern gefährden unter bestimmten Umständen den Zahnschmelz (Abrieb). Durch ungünstige Belastung kann es zu erheblichen statischen Problemen kommen, d. h. die Kaufunktion ist beeinträchtigt.