Füllung | Komposite
+ Zahnsubstanz wird weitgehend erhalten
- Nicht einfaches Verarbeiten
+ Moderne Materialien qualitativ hochwertig
- Sehr aufwändig für den Zahnarzt
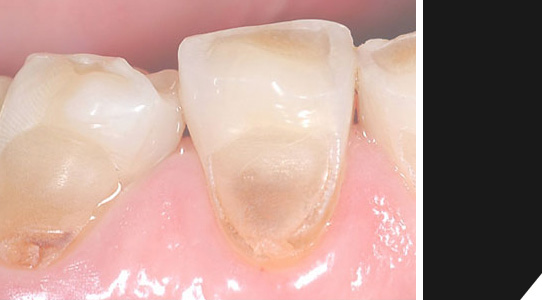
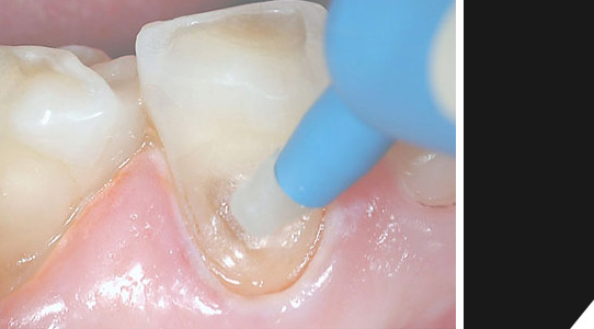
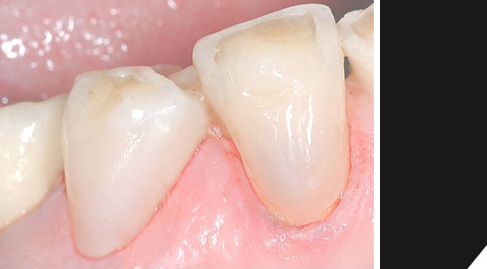
Im Front- und Eckzahnbereich sind die zahnfarbenen Kompositefüllungen die Standardlösung. Dieser Kunststoff wird direkt in den Zahn gegeben. Im Backenzahnbereich werden aufgrund der Kaubelastung allerdings ganz andere Anforderungen an das Komposite gestellt. Hier wird das Material in mehreren Schichten und einer aufwändigen Klebetechnik in den Zahn eingebracht.






