Bleaching | Zu Hause
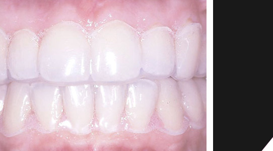
So kann Ihr Ergebnis aussehen - fragen Sie Ihren Zahnarzt
So kann Ihr Ergebnis aussehen - fragen Sie Ihren Zahnarzt
Wenn Sie zu Hause Ihre Zähne aufhellen möchten, starten Sie mit einer gründlichen Zahnreinigung...
bei der auch Zahnseide Verwendung finden sollte.
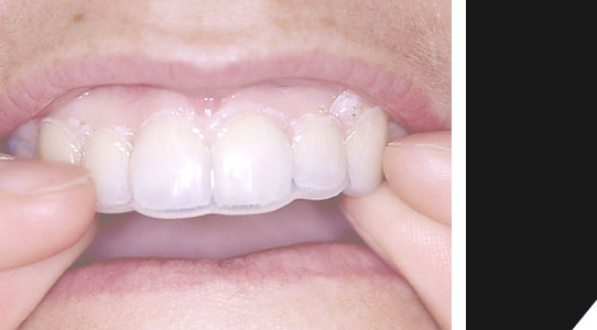
In die vom Zahnarzt speziell für Sie angefertigte Bleichschiene wird jetzt das milde Bleichgel aufgetragen.
Sie können die Schiene jetzt einsetzen. Überschüssiges Gel entfernen Sie bitte mit Zahnbürste und Wasser.
Die Schiene kann über Nacht getragen werden, oder circa 2 Stunden tagsüber mit einer höheren Konzentration des Gels.
Nach dem Tragen bitte die Schiene gründlich reinigen und trocken lagern. Eine Behandlung auf diese Art und Weise dauert in der Regel zwischen 7 und 14 Tagen, je nach dem welchen Grad von Weiß Sie erreichen möchten. Sollten Sie empfindlich auf das Bleichmittel reagieren, können Sie die Trageschiene für einige Minuten am Tag mit einem Fluoridgel befüllt anwenden. Das Ergebnis kann sich sehen lassen.