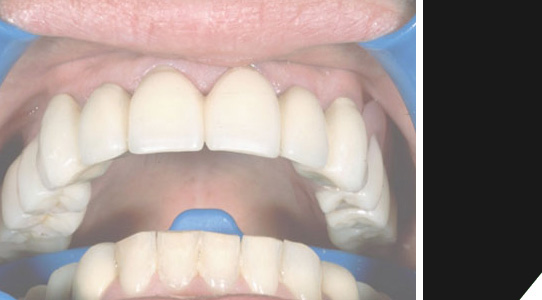
Zahnersatz herausnehmbar | Konus Teleskop
+ Ästhetik sehr gut
+ Gute Reinigungsmöglichkeit
+ Tragekomfort sehr gut
+ Beste Versorgung im herausnehmbaren Bereich
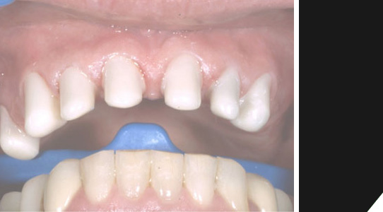
"Mensch, ist das teuer, Herr Doktor", entfährt es dem Patienten in der Zahnarztpraxis. Die Rede ist von Konus- oder Teleskopkronen. Wenn es herausnehmbarer Zahnersatz sein soll, gibt es keine bessere Alternative. Die Anfertigung dieser Präzisionsprothetik stellt jedoch höchste Anforderungen an Zahnarzt und Dentallabor und gestaltet sich entsprechend aufwändig. Die Pfeilerzähne, sozusagen die Halterungen, auf die der Zahnersatz aufgesetzt wird, werden auf den Mikrometerbereich genau beschliffen und überkront. Der herausnehmbare Teil wird dann in einer Art zylindrischer Hohlkehle so exakt angepasst, dass er sowohl mühelos eingesetzt werden kann, als auch mit solcher Präzision aufgleitet, dass er als festsitzender Zahnersatz empfunden wird.





















