Zirkon
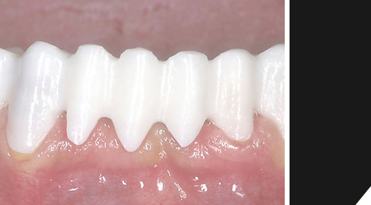
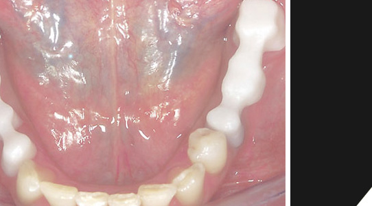
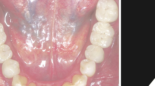
Zirkon ist das älteste bekannte Mineral der Erde und eines der am häufigsten vorkommenden Minerale in der Erdkruste. Zirkoniumdioxid wird zur Fabrikation von Küchenmessern, industrieller Schneidwerkzeuge und thermomechanisch stark beanspruchter Teile in der Automobil- und Flugzeugindustrie verwendet. Neben seiner großen Festigkeit ist es biokompatibel. Aus diesem Grunde wird Zirkoniumdioxid in der Medizin (Gehör-, Finger- und Hüftprothesen) und der Zahnmedizin (Stifte, Kronen- und Brückenversorgungen, Implantate) verwendet. In der Zahnmedizin wird seit etwa 10 Jahren Prothetik aus diesem Material gefertigt.








