Kieferorthopädie | Kinder
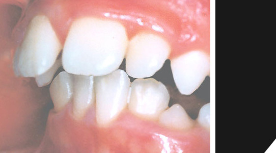
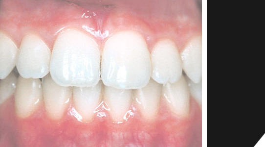
Zwei von drei Kindern sollten kieferorthopädisch behandelt werden. Leider hat der Gesetzgeber die Leistungen hierfür wieder einmal gekürzt. Um Kosten zu sparen, werden ca. 30% der Behandlungsfälle nicht mehr von der gesetzlichen Krankenkasse gezahlt. Kieferanomalien sind nicht nur ein ästhetisches Problem. Sie können durch Fehlbelastungen Kiefergelenkserkrankungen und Zahnfehlstellung begünstigten und dadurch das Kariesrisiko erhöhen. Auch fördern sie Sprachfehler, aus denen häufig ein gestörtes Selbstbewußtsein mit einem breiten Spektrum psychischer Defekte erwachsen kann. Die Behandlungszeit für einen typischen Fall wie in unserer Präsentation beträgt etwa drei Jahre.


