Damit auch Sie wieder zu Ihrem Lächeln finden.

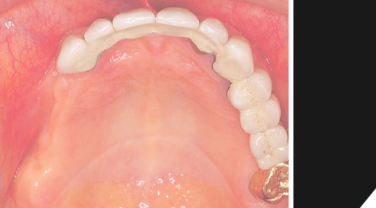
Die gesetzten Implantate nach der Einheilphase ...

und der fertiggestellte Zahnersatz.