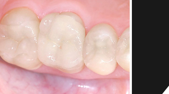
Füllung | Kunststoff
+ Zahnsubstanz wird weitgehend erhalten
+ Ästhetik OK
+ Relativ kostengünstig
- Problematisch bei größeren Defekten im Seitenzahnbereich
Wenn der Zahn nur einen kleinen Defekt aufweist, kann der Zahnarzt mit Füllungen aus Kunststoff arbeiten. Moderne Materialien vereinigen eine gute Verträglichkeit sowie eine hohe Haltbarkeit. Im Seitenzahnbereich ist diese Versorgung allerdings problematisch, da hier der hohe Kaudruck berücksichtigt werden muss, der höchste Anforderungen an den Härtegrad des Materials stellt.

