Zahnersatz herausnehmbar | Geschiebe
+ Guter Tragekomfort
+ Hervorragende Ästhetik
+ Keine Klammern sichtbar wie bei Modellguß
+ Lange Lebensdauer
- Teilweise komplizierte Verbindungselemente
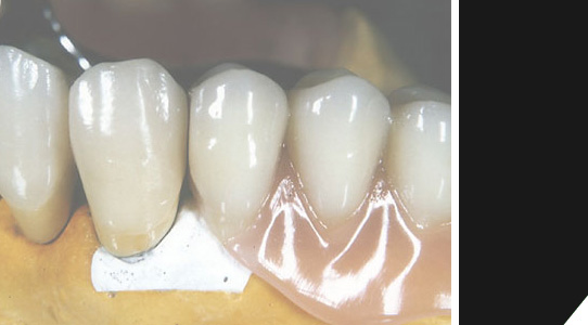
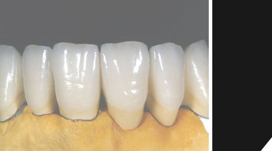
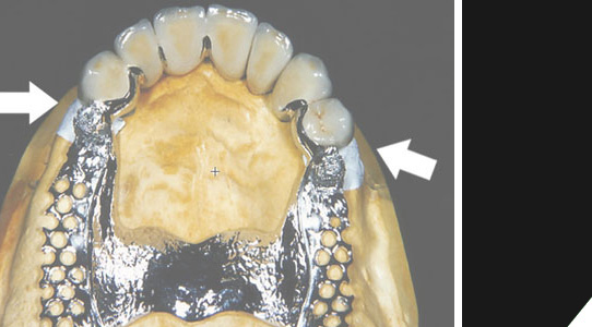
Eine hochwertige Form des herausnehmbaren Zahnersatzes. Hier werden die Klammern einer Modellgußprothese durch Geschiebe oder Druckknopfanker ersetzt. Es handelt sich hier um eine Kombination aus festsitzendem und herausnehmbaren Zahnersatz. Vorhandene Zähne werden überkront und an diesen Kronen wird der herausnehmbare Zahnersatz verankert. Fest verbunden mit diesen Kronen werden die sogenannten Geschiebe. Diese Verankerungselemente sind im Gegensatz zu Klammern nicht sichtbar. Eine hervorragende Ästhetik ist gewährleistet. Die Kombination dieser beiden Techniken gewährleistet ihnen im Normalfall auch eine sehr lange Lebensdauer ihrer Prothetik.








