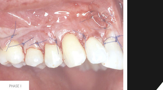
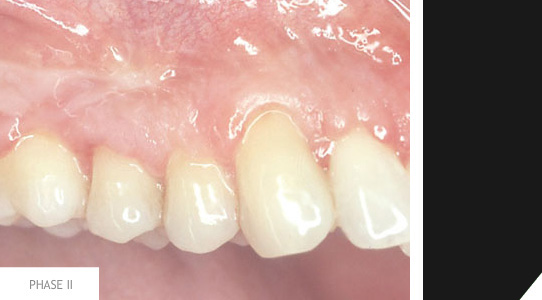
Paradontitis
Paradontitis ist neben Karies die häufigste Ursache für Zahnverlust. Man spricht von Paradontitis, wenn Entzündungen des Zahnfleischs den Kieferknochen erreicht haben. Es kann zu einer Lockerung bis hin zum Verlust der Zähne kommen. Die bakteriell bedingte Entzündung des Zahnhalteapparates, also Paradontitis, ist ebenso ein Risikofaktor für die Entstehung von Allgemeinerkrankungen. So sind Schwangere mit einer Paradontitis einem erhötem Risiko für spontane Frühgeburten mit Übergewicht ausgesetzt. Diabetiker bekommen ihren Zuckerstoffwechsel weniger gut in Griff und leiden gleichzeitig unter einer stärkeren Ausprägung der Paradontitis.



