Kieferorthopädie | Erwachsene
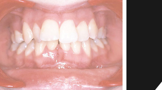
Hier der Fall eines Patienten:
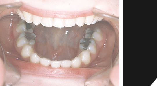
Schneidezähne oben stehen zu eng, untere Front besteht nur aus drei Zähnen.
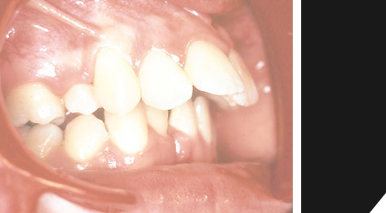
Hier der Fall eines Patienten:
Schneidezähne oben stehen zu eng, untere Front besteht nur aus drei Zähnen.
Eine deutliche Fehlstellung des Frontbereichs...
Im unteren Bereich sind nur drei Frontzähne vorhanden...
Zudem kommt noch ein starker Überbiss...
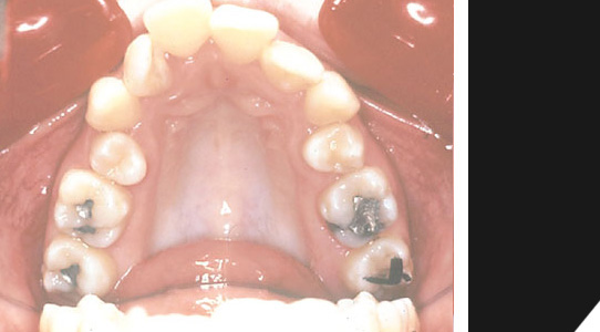
Der selbe Patient nach der erfolgreichen Behandlung, mit harmonisch ausgeformter Zahnreihe. Die Kieferfehlstellung im Unter- und Oberkieferbereich wurde behoben. Die Schneidezähne im oberen Bereich sind wieder gerade.
Hier noch ein Vorher- / Nachherfall, bei dem sogenannte Brackets eingesetzt werden.