Implantat | Fall 5
Hier noch ein weiterer Fall eines Patienten. Sie sehen einen zahnlosen Unterkiefer mit fünf Implantaten.
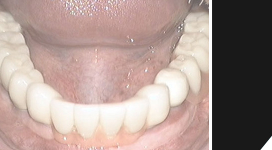
Hier noch ein weiterer Fall eines Patienten. Sie sehen einen zahnlosen Unterkiefer mit fünf Implantaten.
Zirkonaufbauten auf den Implantaten gestaltet als Primärteleskope.
Galvano Sekundärkronen auf den Primäreleskopen im Mund des Patienten.
Hier das verklebte Tertiärgerüst aus Nicht-Edelmetall in der Mundsituation.
Die fertige Arbeit auf dem Modell.
Und im Mund des Patienten.