Brücke | Metallfrei
+ Sehr gut bioverträglich
+ Haltbarkeit sehr gut
+ Ideal für Allergiker
Diese Brückenart verzichtet gänzlich auf ein
Metallgerüst und benutzt stattdessen alternative
Materialien. Hier als Beispiel Zirkon, das auch in
künstlichen Hüftgelenken Verwendung findet.
Dieses Material ist extrem bruchfest und 100 %
bioverträglich. Nach Fertigstellung des Zirkongerüsts
kann alles wie gewohnt mit Keramik verblendet
werden.
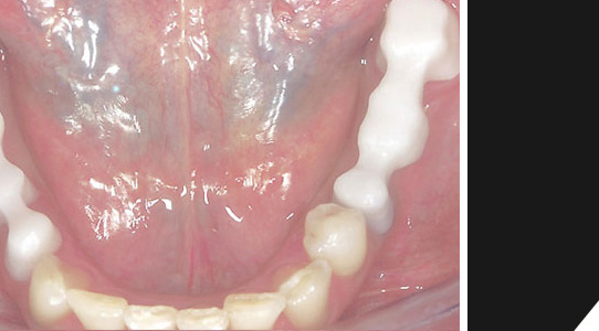
In der Präsentation sehen Sie einen
Patienten mit:
1. Goldkronen
2. Kronen entfernt und unverblendete Zirkonbrücke
3. Fertig, Brücke verblendet




