Implantat | Fall 1
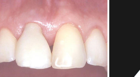
Hier sehen Sie das Beispiel eines Patienten mit Sportverletzung. Ein Rest des oberen rechten Schneidezahns ist noch vorhanden.
Hier sehen Sie das Beispiel eines Patienten mit Sportverletzung. Ein Rest des oberen rechten Schneidezahns ist noch vorhanden.
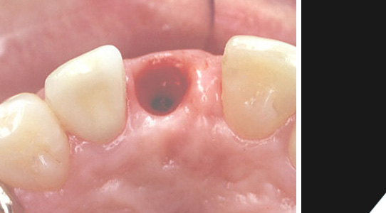
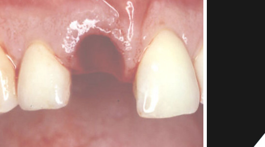
Der Restzahn wurde entfernt.
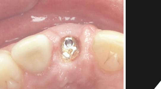
Das Implantat wurde anstelle der Wurzel in den Knochen eingebracht. Ein Zahnfleischformer bereitet die Lücke für die prothetische Versorgung vor. In dieser Phase kann man bereits von einer Übergangslösung sprechen.
Die Kontrolle durch Röntgenaufnahmen.
Der Zahnarzt kontrolliert, ob die Einheilphase gut verläuft.
Nach der Einheilphase wird ein Pfosten für die Befestigung der Krone in das Implantat eingeschraubt.
Eine Übergangslösung wird für eine kurze Zeit eingesetzt.
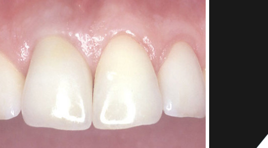
Zum Schluß erhält man ein optimales Ergebnis. Tragekomfort und Ästhetik lassen keine Wünsche offen. Der Zahnersatz ist praktisch nicht von natürlichen Zähnen zu unterscheiden.