Implantat | Fall 3
Im Unterkiefer links muß ein Zahn ersetzt werden.
Im Unterkiefer links muß ein Zahn ersetzt werden.
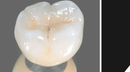
Eine perfekte Krone - würden Sie den Unterschied sehen?
Allein die Röntgenaufnahme verrät, dass es sich hier um ein hochwertiges Titanimplantat handelt.