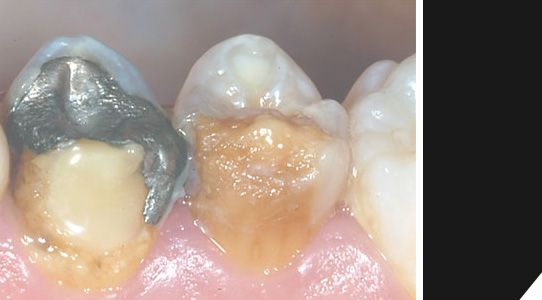
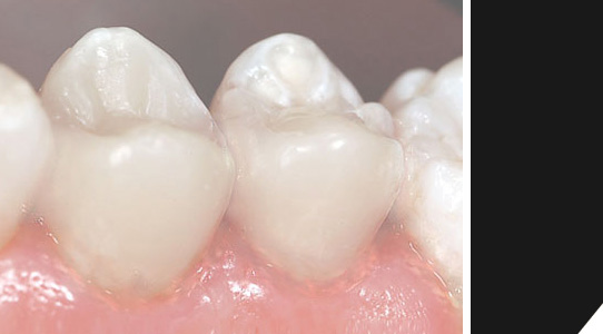
Wahl- o. Kassenleistung | Keramikfüllung
Die "Batterie im Mund". Amalgam ist ein äußerst umstrittenes Thema. Immer noch gehört eine Füllung mit diesem giftigen Material zur Kassenleistung. Aufgrund des unschönen Erscheinungsbildes und des allergieauslösenden Befundes bei manchen Patienten, entscheiden sich viele nach einigen Jahren sowieso dafür, Ihre Füllungen beispielsweise durch hochwertige Keramik ersetzen zu lassen.


